Call Now : 6282408141

Services Detail

Dental Implants

Dental implants are a permanent solution for missing teeth, offering the most natural and durable replacement option available today. At Aastha Dental Clinic, we use state-of-the-art implant technology to restore both the function and aesthetics of your smile. Whether you need to replace a single tooth or multiple teeth, our implant treatments are customized to meet your specific needs.

  • Permanent and natural-looking tooth replacement
  • Helps maintain jawbone health and prevent bone loss
  • Customized treatment plans for individual patients
  • Minimal discomfort with advanced techniques
  • Restores full chewing function and smile aesthetics

Tooth Extractions

When a tooth is severely damaged or decayed, extraction might be the best option to maintain overall oral health. At Aastha Dental Clinic, we prioritize your comfort during the procedure, utilizing the latest methods to ensure a painless and smooth extraction. Our team also provides comprehensive aftercare to ensure quick recovery with minimal discomfort.

  • Safe removal of severely damaged or impacted teeth
  • Focus on minimizing discomfort with modern techniques
  • Detailed post-extraction care for faster recovery
  • Sedation options available for anxious patients
  • Guidance on tooth replacement options if needed

Orthodontic Treatment

 we offer a variety of orthodontic treatments to straighten your teeth and improve both function and appearance. Whether you are dealing with crooked teeth, gaps, or bite issues, our solutions, such as traditional braces or clear aligners, can give you the confidence of a perfect smile. Orthodontic treatment is not just about looks—it can also improve your oral health by making teeth easier to clean and reducing wear on your teeth.

  • Traditional braces and clear aligner options available
  • Customized treatment plans for children, teens, and adults
  • Corrects bite issues, overcrowding, and misalignment
  • Enhances both appearance and long-term oral health
  • Regular follow-ups to monitor progress and ensure success

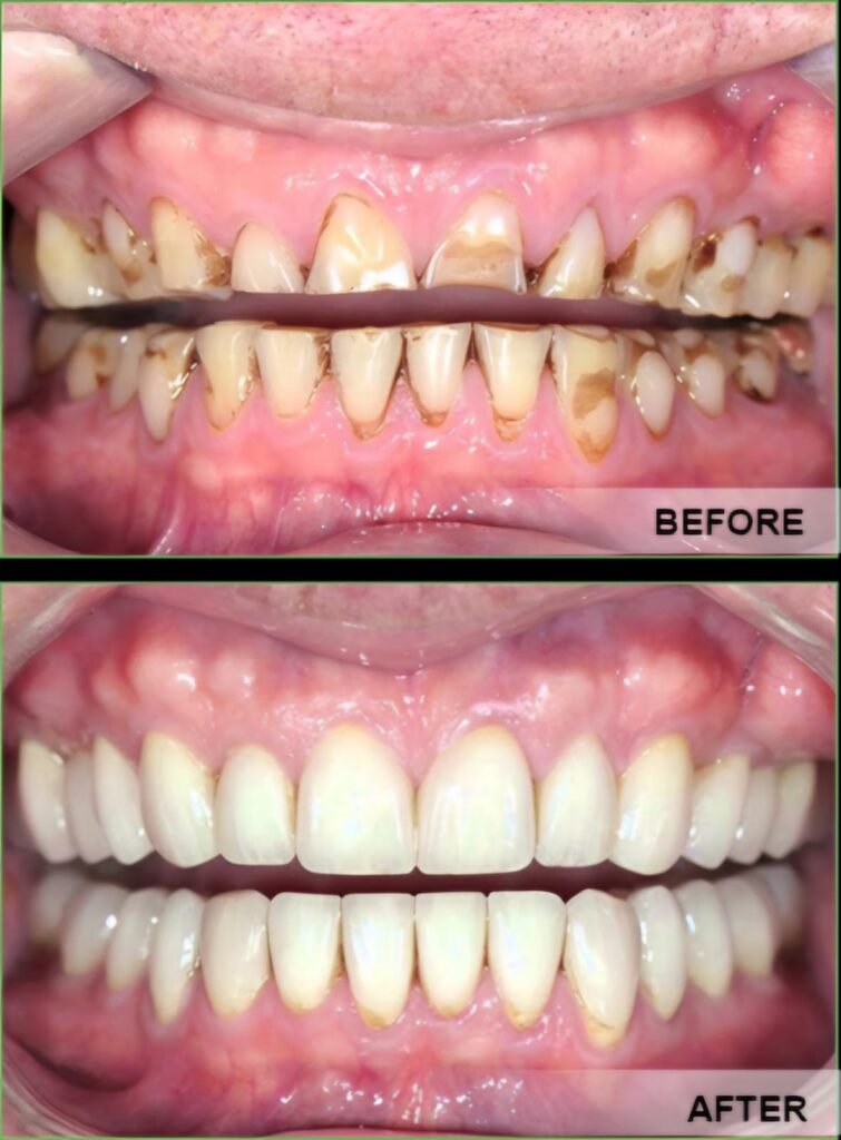
Cosmetic Treatment

A beautiful smile can boost your confidence and change the way others perceive you. At Aastha Dental Clinic, we offer a range of cosmetic dental treatments designed to enhance your smile’s appearance. From whitening to veneers and complete smile makeovers, we work with you to design a personalized treatment plan that helps you achieve the smile of your dreams.

  • Teeth whitening for a brighter, whiter smile
  • Veneers to cover imperfections like chips or gaps
  • Smile makeovers tailored to your unique preferences
  • Use of advanced materials for natural, long-lasting results
  • Combination of artistry and technology for stunning transformations

Root Canal Treatment

Root canal treatment is a crucial procedure to save an infected or damaged tooth. At Aastha Dental Clinic, we focus on making this procedure as comfortable and effective as possible. By removing the infection from inside the tooth, we help preserve its structure, preventing the need for extraction. With our expert care, we ensure that your tooth is restored to full function and health.

  • Removes infection to save the natural tooth
  • Prevents the need for tooth extraction
  • Minimally invasive procedure with modern equipment
  • Preserves tooth structure and prevents further damage
  • Comprehensive care to ensure comfort during and after treatment

Periodontic Treatment

Gum health is essential to maintaining your overall dental health, and our periodontic treatments at Aastha Dental Clinic address conditions like gum disease and inflammation. Untreated gum disease can lead to tooth loss and other serious health problems, but with early intervention, we can restore your gums to full health. Our periodontic care includes deep cleaning, scaling, and root planing to reverse the effects of gum disease.

  • Early diagnosis and treatment of gum disease
  • Deep cleaning and root planing to remove bacteria
  • Treatment for gum recession and inflammation
  • Prevention of tooth loss due to advanced gum disease
  • Guidance on maintaining good gum health at home

Tooth Restorations

Tooth restorations at Aastha Dental Clinic focus on repairing and rebuilding teeth that have been damaged by decay, injury, or wear. We offer a variety of restorative treatments, including fillings, crowns, and bridges, designed to restore the function and appearance of your teeth. Using high-quality materials, we ensure that your restorations blend seamlessly with your natural teeth, allowing you to eat and speak comfortably.

  • High-quality fillings to repair cavities
  • Crowns to restore severely damaged teeth
  • Bridges and dentures to replace missing teeth
  • Use of durable, natural-looking materials
  • Restorations designed for both function and aesthetics

Teeth Bleaching

A bright, white smile can make a world of difference in how you feel and how others see you. At Aastha Dental Clinic, our professional teeth bleaching services are designed to safely and effectively remove stains and discoloration, giving you a radiant smile. Whether your teeth are discolored due to age, food, or lifestyle habits, our advanced whitening treatments deliver fast and lasting results.

  • Safe and effective teeth whitening procedures
  • Removes stains caused by coffee, tea, and smoking
  • Customized treatment plans for optimal results
  • Quick, in-office treatments with immediate results
  • Long-lasting whitening with proper aftercare

Prosthodontic Treatment

Prosthodontic is a dental specialty focused on the restoration and replacement of damaged or missing teeth. It involves treatments that enhance oral function, comfort, appearance, and overall oral health through artificial substitutes.

  • Restores Teeth: Prosthodontic replaces damaged or missing teeth to improve function and appearance.

  • Custom Fit: Treatments are tailored to blend seamlessly with natural teeth.

  • Variety of Options: Includes crowns, bridges, dentures, and implants for diverse needs.

  • Durable Materials: Uses strong materials like ceramic for long-lasting results.

  • Comprehensive Care: Ideal for complex cases like full-mouth restorations and jaw issues.